+44 141 530 7354 [email protected]

Robotic Assisted Surgery

Robotic Assisted Surgery procedures provide opportunity to potentially improve the accuracy of implantation and the reproducibility of the surgical plan.

Robotic Assisted Surgery

Is it right for you?

I am delighted to now provide my patients with the option of Mako Robotic Assisted Surgery. This includes Mako Total Knee and Mako Total Hip replacements. These procedures provide opportunity to potentially improve the accuracy of implantation and the reproducibility of the surgical plan.

For more information on Mako Robotic Assisted Surgery visit here.

image of robotic assisted surgery

source from: https://www.stryker.com/

Next Steps

Please refer to our FAQ section for more information on this treatment. Or, if you would like to discuss if you are an eligible candidate for robotic assisted surgery, please make an appointment with Nuffield Health on call +44 141 530 7354 or by email [email protected].

Recovery Process

The recovery process can vary, but it typically involves:

  • Hospital stay: 1-3 days
  • Initial mobility: patients can usually walk with the assistance the same day of their operation
  • Physical therapy: begins straight after surgery and continues for 6-12 weeks
  • Full recovery: typically 3-6 months for normal activities, but this varies across patients
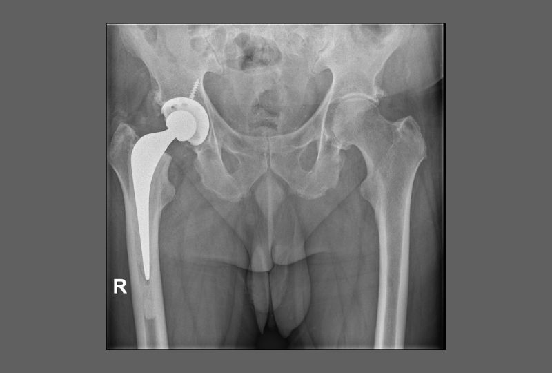
robotic assisted surgery hip replacement example

Example of Robotic Assisted Surgery

Frequently Asked Questions

What is robotic assisted joint replacement surgery?

Robotic assisted surgery is a procedure where a surgeon uses a robotic system, such as MAKO, to assist in accurately planning and executing hip or knee replacement. The robot doesn’t operate on its own and is controlled by the surgeon.

How much does robotic assisted surgery cost?

The cost of robotic assisted surgery in Glasgow varies. Prices depend on the facility and whether the surgery is done privately. However, basic pricing includes:

Robotic assisted total hip replacement from £16,277*

Robotic assisted knee replacement: from £17,287*

*Pricing as of 1st January 2025.

For detailed pricing information, please contact the Nuffield Hospital on 0141 530 7354.

Is everyone eligible for robotic assisted surgery?

Surgery is typically recommended when arthritis and pain lead to significant loss of function. However, individuals with chronic joint pain without arthritis, arthritis without pain, or joint deformities without pain or arthritis are not usually candidates for surgery.

A thorough medical evaluation is required to determine if robotic-assisted surgery is the right option for you.