+44 141 530 7354 [email protected]

Osseointegration

Osseointegration or direct skeletal fixation is the process of bone cells adhering to a metal implant.

Osseointegration

Is it right for you?

The implant penetrates through the skin, allowing attachment of an artificial limb to the human skeleton via a connector.

Conventional socket wearers frequently have problems with dermatitis, intolerable perspiration and difficulty walking on uneven surfaces. Osseointegration avoids these problems and carries advantages such as stability and improved joint movement.

A thorough medical evaluation is required to determine if osseointegration is the right option for you.

image of osseointegration

Next Steps

Please refer to our FAQ section for more information on this treatment. Or, if you would like to discuss if you are an eligible candidate for osseointegration surgery, please make an appointment with Nuffield Health on call +44 141 530 7354 or by email [email protected].

Recovery Process

The recovery process can vary, but it typically involves:

  • Hospital stay: 1-3 days
  • Initial mobility: patients can usually walk with the assistance the same day of their operation
  • Physical therapy: begins straight after surgery and continues for 6-12 weeks
  • Full recovery: typically 3-6 months for normal activities, but this varies across patients
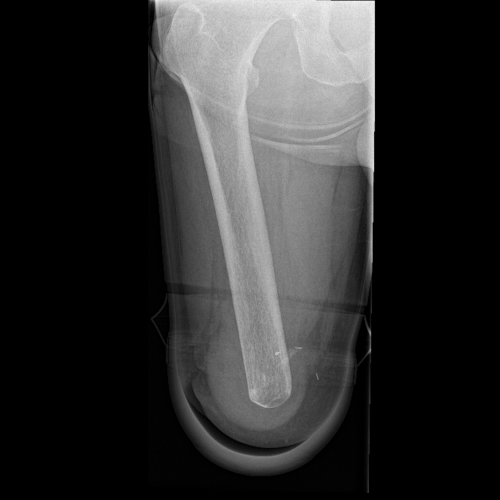
image of before osseointegration

Before Osseointegration

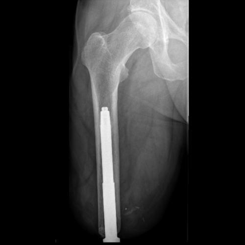
image of after osseointegration

After Osseointegration

Frequently Asked Questions

What is osseointegration and how is it performed?

Osseointegration is a procedure in which a titanium implant is surgically inserted into the bone to provide a stable anchor for prosthetic limbs. The implant fuses with the bone over time, bypassing the need for traditional socket-based fittings.

The procedure is typically performed in one stage with the implant placement followed by intensive rehabilitation and prosthetic attachment once milestones have been achieved. 

Who is a suitable candidate for osseointegration?

Ideal candidates include:

  • Amputees who struggle with traditional prosthetic sockets due to pain, skin irritation, or poor fit.
  • Those with good bone quality and a stable overall health condition.
  • Non-smokers

A comprehensive assessment by an orthopaedic surgeon is needed to determine candidacy. 

What are the benefits of osseointegration over traditional prosthetic methods?

Improved comfort and mobility: The prosthetic is directly attached to the bone, eliminating socket-related issues like skin irritation and discomfort.

Better function and control: The ability to feel more natural movement and weight-bearing.

Enhanced durability: As the implant is securely anchored to the bone, it can improve stability and the lifespan of the prosthesis.

Less maintenance: Fewer adjustments needed compared to traditional prosthetics.