+44 141 530 7354 [email protected]

Tumours

The surgical treatment of tumours involves applying skills learnt from the breadth of orthopaedics and surgery in general.

Tumours

What you need to know

Musculoskeletal oncology is the subspeciality of orthopaedics focusing on the diagnosis and treatment of patients with both benign and malignant tumours of bone and connective soft tissues. This includes the management of metastatic carcinoma or blood cancers that have spread to the skeleton.

Connective tissue is the broad term that includes bone, cartilage, fat, vascular or haematopoietic tissues. Tumours can arise in any of these types of tissues. A sarcoma is a malignant tumour, a type of cancer that arises from connective tissue cells.

Bone lesions may require an intralesional procedure, resection and reconstruction with an arthroplasty (joint replacement) operation, or to be stabilised using trauma techniques with a plate and screws or intramedullary nail.

The surgical treatment of tumours involves applying skills learnt from the breadth of orthopaedics and surgery in general. Benign soft tissue lumps may be resected marginally, whilst malignant tumours will require a wide local excision and potentially a reconstructive procedure.

image of tumours

Next Steps

Please refer to our FAQ section for more information on this treatment. Or, if you would like to discuss if you are an eligible candidate for tumour surgery, please make an appointment with Nuffield Health on call +44 141 530 7354 or by email [email protected].

Recovery Process

The recovery process can vary, but it typically involves:

  • Hospital stay: 1-3 days
  • Initial mobility: patients can usually walk with the assistance the same day of their operation
  • Physical therapy: begins straight after surgery and continues for 6-12 weeks
  • Full recovery: typically 3-6 months for normal activities, but this varies across patients
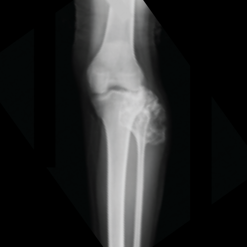
before image of tumours

Before Tumour Surgery

after image of tumours

After Tumour Surgery

Frequently Asked Questions

What is musculoskeletal oncology and how is it managed?

Musculoskeletal oncology is a specialised treatment that focuses on bone and soft tissue tumours, that may or may not be cancerous.

Treatment for bone and soft tissue cancers typically involves:

  • Surgical removal of the tumour (often through limb salvage surgery if possible).
  • Chemotherapy or radiation therapy for certain types of cancer.
  • Reconstruction or prosthetic implants for bone defects after tumour removal.

The exact treatment depends on the type, size and location of the tumour as well as the stage of the disease.

What are the latest advancements in musculoskeletal oncology treatments?

Recent advancements include:

  • Targeted therapies and immunotherapy: These focus on specific cancer cells, reducing damage to healthy tissue.
  • Robotic assisted surgery: For more precise tumor removal with less tissue damage.
  • 3D printing: Custom implants or prosthetics to reconstruct bones after tumor removal.

Minimally invasive techniques: Which offer shorter recovery times and fewer complications.